3 min read
502 words
5 views

Il 19 luglio scorso la sonda giapponese Akatsuki ha celebrato il suo primo anno venusiano, trascorso in orbita intorno a Venere. La sonda aveva completato un drammatico e insperato inserimento orbitale il 7 dicembre dello scorso anno; dopo cinque mesi trascorsi a modificare la propria orbita, ad aprile di quest’anno la missione ha inaugurato la sua campagna scientifica. Per celebrare questo primo “compleanno” di Akatsuki, l’agenzia spaziale giapponese, la JAXA, ha rilasciato una serie di immagini scattate di recente dalla sonda.
| Il primo scatto è opera della fotocamera a ultravioletti UVI. L’immagine è stata scattata a una lunghezza d’onda di 283 nanometri il 25 Aprile 2016, da una quota di 108 mila chilometri. Le osservazioni in questa regione dello spettro elettromagnetico permettono agli astronomi di mappare la distribuzione dell’anidride solforosa, uno dei precursori dell’acido solforico che popola le nubi venusiane. | ![]() |
| La seconda immagine è sempre opera della fotocamera UVI, ma è centrata a una lunghezza d’onda di 365 nm ed è stata scattata il 7 Maggio. Questa lunghezza d’onda non corrisponde a particolari righe spettrali d’assorbimento di sostanze chimiche; tuttavia, il suo elevato contrasto naturale consente uno studio più approfondito della struttura e delle dinamiche atmosferiche. Al momento dello scatto, Akatsuki si trovava a 80 mila chilometri dalla superficie venusiana. | ![]() |
| La terza fotografia porta la firma della fotocamera IR1 ed è stata ripresa a 1.01 micrometri di lunghezza d’onda, ovvero ai confini spettrali dell’infrarosso e in pieno vicino infrarosso. Operando in questa regione spettrale, IR1 è in grado di raccogliere le radiazioni di natura termica provenienti dal suolo venusiano – ad esempio, da rocce e vulcani. La regione scura corrisponde ad Aphrodite Terra, un vasto altopiano situato in prossimità dell’equatore venusiano. L’immagine è stata scattata il 21 Gennaio da 38 mila chilometri di distanza. | ![]() |
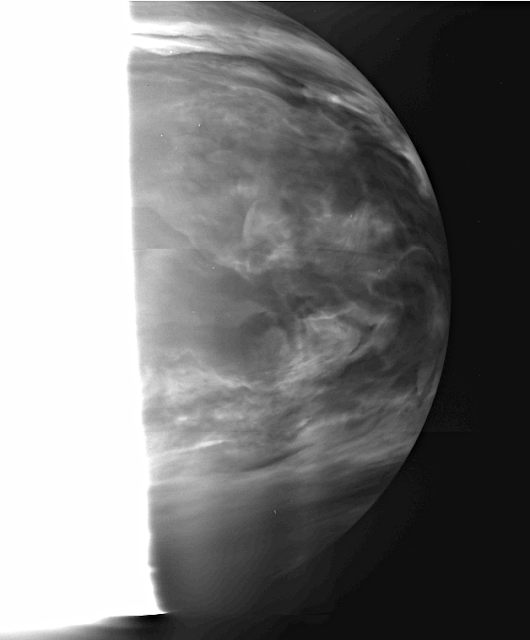
| Il quarto scatto ritrae l’emisfero illuminato di Venere, visto da IR1 a 0.9 micrometri di lunghezza d’onda il 7 Maggio. Aumentando il contrasto, è possibile osservare la struttura atmosferica vari chilometri al di sotto della sommità delle nubi più in quota. L’immagine è stata scattata da una distanza di 65 mila chilometri. | ![]() |
| Quest’altro scatto è invece opera della fotocamera IR2 e ritrae la metà di Venere immersa nella notte, immortalata a 2.26 micrometri di lunghezza d’onda. L’immagine, scattata a 76 mila chilometri di quota, mostra le radiazioni termiche provenienti dagli strati atmosferici in prossimità della superficie. | ![]() |
| Protagonista della sesta foto è, ancora una volta, l’emisfero illuminato di Venere, visto da IR2 a 2.02 micrometri di lunghezza d’onda il 7 Maggio. L’immagine mostra la distribuzione dell’anidride carbonica, il principale gas che popola l’atmosfera venusiana. Come si può notare, le nubi in prossimità delle regioni polari sono particolarmente basse in termini di altitudine, risultando scure in questa foto. Al momento dello scatto, Akatsuki si trovava a 81 mila chilometri da Venere. | ![]() |
| Il settimo e ultimo scatto è opera della fotocamera LIR, che ha immortalato Venere il 15 Aprile a 10 micrometri di lunghezza d’onda, ovvero a cavallo tra il medio e il lontano infrarosso. L’immagine rivela la temperatura della sommità delle nubi; al di sopra del polo meridionale, le temperature risultano molto più elevate che altrove. | ![]() |
Passa l’estate con Coelum
Semplicemente… clicca e leggi, è gratis!




















